有痛性外脛骨の9割は手術せずに改善できます
「有痛性外脛骨」で悩んでいるお子さんを持つ親御さん、大人になって発症した方へ
この記事は、理学療法士が執筆しています。
有痛性外脛骨がリハビリやストレッチ、テーピング、マッサージ、インソール、タオルギャザーなど病院や整骨院では治らなかった方の為に向けた内容が記されています。
医学的根拠のある最新情報と治療技術であなたの悩みを解決します。
今のあなたは
- 病院で「手術」の選択を迫られ悩んでいる
- 痛くて歩けない
- 早く治る方法を探しているが見つからない
など、数ヶ月間辛い時期を送っているかもしれません。
もう、大丈夫です。
当院では、手術を勧められていた方でも、「有痛性外脛骨障害」は早く治り、多くの子がスポーツ復帰できています。大人の有痛性外脛骨も対応しています。
福岡筋膜整体Crystalには有痛性外脛骨の方がとても多く来院します。多くの場合5回前後で痛みが改善します。
「治すのは当たり前、いかに早く的確に治すか」という早期改善を目標に治療しています。
どれか1つでも当てはまる方はご相談ください。
- 内くるぶしの下が腫れて痛い
- 立ち仕事が辛い
- ジャンプすると痛む
- 外脛骨の出っ張りが靴に当たって痛い
- 手術はしたくない
- 早期のスポーツ復帰を望んでいる
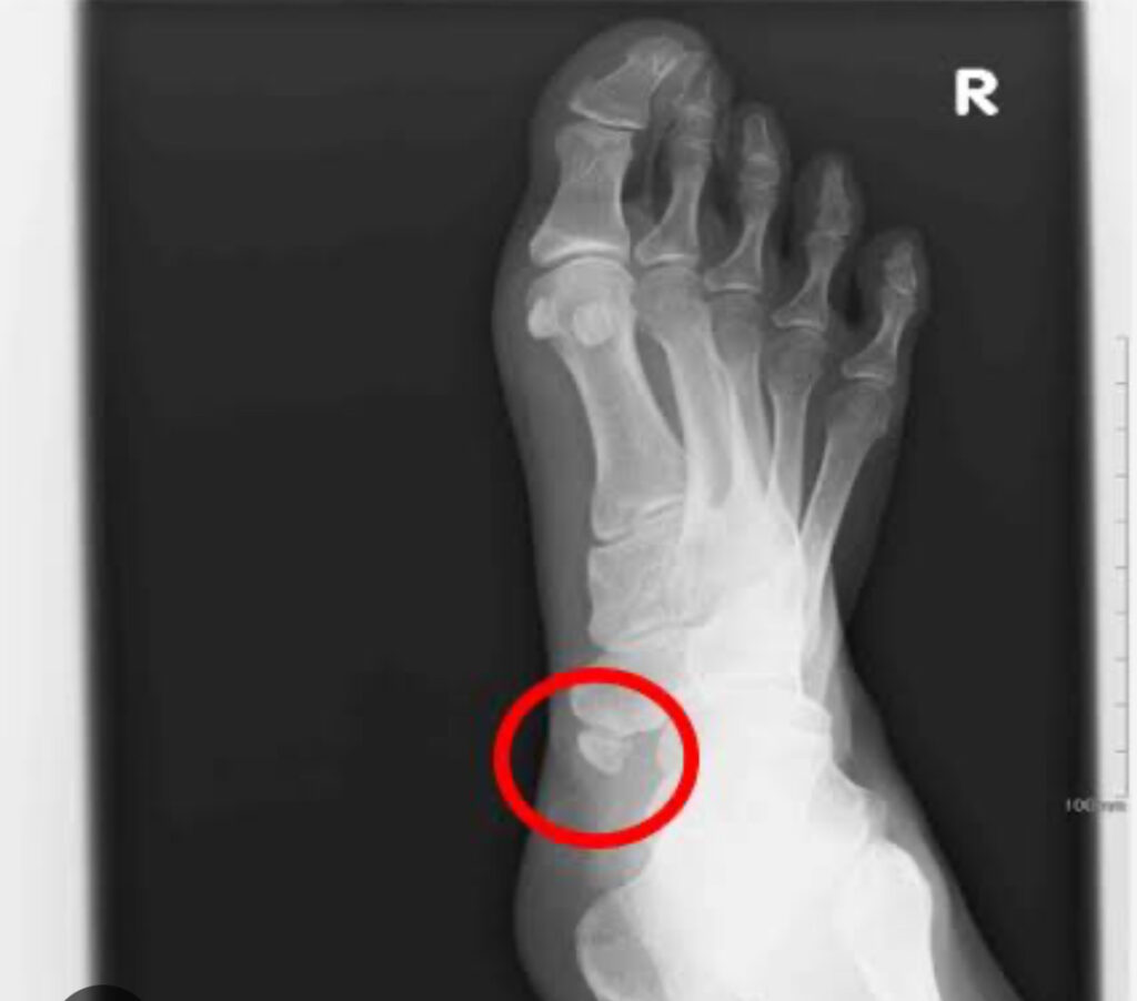
そもそも外脛骨とは?

足の土踏まず(内側アーチ)の中央部分に生じる過剰骨(普通には無い、余分にできた骨)のことを言います。外脛骨の場所は内くるぶしの下あたりに位置します。日本人の約15%の人に外脛骨があるとされています。
外脛骨があること自体は異常ではなく、通常とは形が異なっているが病気ではないもの
参照元:慢性痛治療の専門医による痛みと身体のQ &A
有痛性外脛骨とは?

土踏まず(内側アーチ)の真ん中付近が痛くなるものを「有痛性外脛骨」とよびます。発症すると内くるぶし下あたりの骨の出っ張りを押さえると強く痛みます。
有痛性外脛骨障害の症状は?
好発年齢はスポーツ活動が小学生から中学生(10〜15歳頃)に多く見られますが、大人になって発症することもあります。当院では40代の立ち仕事で悩まれる方も多くいらっしゃいます。
症状は主に痛みや、腫れ、熱感です。足の内側の骨の出っ張りがあり、押したり、靴に当たると痛いのも特徴です。
大人(成人)の有痛性外脛骨障害では捻挫などの外傷などをきっかけに、急に症状が出始める事もあります。長時間の立ち仕事が辛いと感じる方も少なくありません。
有痛性外脛骨障害の原因

少し専門的な話になりますが、後脛骨筋(つま先立ちで動く筋肉)が舟状骨という骨に付着しており、外脛骨が引っ張られるような力(牽引力)が持続的に加わることが原因と言われています。

原因はわかったけど、痛みが出る人と出ない人といるのはなぜだろう?

良い質問ですね。痛みが出る人の特徴を次の項目で説明していきますね。
有痛性外脛骨障害の出やすい人の特徴5選
有痛性外脛骨の発症要因の割合は、医療機関のデータによると、
- へん平足
- 足関節ねんざ(外傷)
- O脚X脚
- 繰り返し負荷動作
- 立ち仕事
などが誘発要因としてい言われています。
またスポーツの競技別では以下になります

サッカー、バスケットボール、野球、に多くその他、陸上競技(ランニング、マラソン)、ハンドボール、バレーボール、クラシックバレエ、テニス、ダンス(ダンサー)の方が福岡筋膜整体Crystalに来院されます。
有痛性外脛骨の完治期間は?いつ治る?
通常は15〜17歳の骨成長が終わる頃には自然治癒することが多い
AR-Ex Medical Groupより引用
保存療法の完治期間
初期治療は手術以外の治療を行い、安静や固定、注射、インソール、テーピングをしますが、治療成績は2〜3割程度と報告されており、あまりよくありません。3〜4ヶ月間の保存的治療(リハビリ)を行い、それでも改善しない方が手術対象になる事が多いです。
保存療法における競技復帰時期
競技復帰まで約1ヶ月半〜3ヶ月と報告されています。ただし競技復帰できた割合は約45%。
下の表は有痛性外脛骨に対してインソール、テーピング、安静のみのグループ分けし、それぞれ競技復帰出来た割合を示したデータです。

参照元:日本臨床スポーツ医学誌から抜粋しています。
まとめると、それぞれの治療法で競技復帰出来た割合は
- インソール 40%
- テーピング 52%
- 治療なしの安静 47%
参照元:日本臨床スポーツ医学誌から抜粋しています。
手術治療の場合
術後は6〜8週間荷重を避ける為、松葉杖を使用します。術後のスポーツ復帰は概ね4ヶ月と言われています。保存療法と手術の期間をを合わせると8ヶ月間もスポーツ復帰まで時間を要します。しかし、痛みが完治する方は半数と言われています。
半数ほどの人が手術後に痛みが残ってしまったと報告されています。
医療法人社団 祐優会OKUNO CLINIC.
手術成績は5割程度なので、手術をしたから絶対良くなるとは限りません。

一般的な治療は、思ったより治る割合が少ないんだ。私の痛みも完全に治るか不安になってきたな。

有痛性外脛障害は治りにくく、再発しやすいスポーツ障害の一つです。だけど、安心してください。当院では、約9割の方が症状が改善しスポーツ復帰している実績があります。
当院での平均治療回数は約5回です。
なぜ、こんなにも早く改善するのか?
早く治す方法をお伝えしていきます。
従来の一般的な治療法
一般的には以下の2つの改善に務めます。
- 痛み(炎症)を抑える
- 土踏まず(へん平足)を改善し外脛骨の負荷を減らす
この2つが基本になります。
具体的な対策は
- 安静
- 消炎鎮痛剤(痛み止め)
- マッサージやストレッチ
- テーピング
- インソール
- タオルギャザー
上記の治療が一般的です。ですが、先ほどお伝えしたように、治療成績は2割程度です。改善しても競技復帰すると痛みが再発することも珍しくありません。
有痛性外脛骨の原因は痛みの場所以外にある事が多いです。
当院での有痛性外脛骨の治し方
当院では、約9割が痛みが改善し、スポーツ復帰出来ています。それは隠れた本当の原因を特定する事ができるからです。
当院では【筋膜】という組織を全身から評価し、原因を特定しています。
筋膜とは?
筋肉を包んでいる“膜”で全身繋がっています。

実は、人が感じる痛みの大部分は「筋膜によるもの」とわかっています。有痛性外脛骨の原因特定もこの全身の筋膜から、隠れた原因を探す事が可能です。

筋膜は上の図でもわかるように全身繋がっているので、硬くなった筋膜をチェックし特定します。
有痛性外脛骨で痛いのは、内くるぶしですが、足首の筋膜はふくらはぎ・スネ・もも裏ともつながっています。
ですので、例えばもも裏の筋膜が硬くなっていると、足首にも影響し有痛性外脛骨になります。

上記は一例ですが、昔のねんざにより、ふくらはぎが硬くなっており、ふくらはぎの施術で有痛性外脛骨の症状が改善するという流れでした。
症状は皆同じでも、1人1人原因は場所は違います。
原因が特定されれば有痛性外脛骨は早く治ります。
なぜ筋膜へのアプローチが必要なのか
筋膜が硬くなると筋膜自体が痛みを発します。
なんと、筋肉に比べておよそ6〜10倍の痛みを感じるセンサーが筋膜に内臓されています。
今あなたが感じている痛みも筋膜である可能性が高いのはこういった理由からです。
さらに、有痛性外脛骨はへん平足になっている方が多いのですが、言わば身体のゆがみです。
実は筋膜は第2の骨格と言われており、硬くなった筋膜はゆがみも作り出してしまいます。
筋膜リリースする事で身体のゆがみの改善になります。
これが、有痛性外脛骨には筋膜リリースが有効な理由です。
子供も大人の有痛性外脛骨のある人は、内くるぶしと繋がっている筋膜の硬さを柔らかくしてあげることで痛みが改善するケースがとても多いです。
先ほどの図の青いラインが筋膜の繋がりなんですが、全身の筋膜をチェックし、硬くなっている部位を特定します。
この硬くなっている筋膜が根本原因になっているケースが多いです。
まとめると
- 人体で1番痛みを出しているのは筋膜
- 硬くなった筋膜はゆがみを作りだす
これが、有痛性外脛骨には筋膜リリースが有効な理由です。
この筋膜リリースは医学的根拠として医学で注目されています。
世の中には効果のない筋膜リリースが多い

症状改善への効果が高いのはイタリア式の筋膜リリース(筋膜マニピュレーション)です。
近年は筋膜リリースブームの為、提供しているお店が急増してますが、そのほとんどは効果が乏しいです。
- 柔軟性は出るが痛みの原因の特定方法がない
- 指圧で強く押してるだけで筋膜リリースになっていない
- 皮膚表面を伸ばすだけで実は筋膜リリースになっていない
- 全身から硬くなっている筋膜を特定できるので根本から痛みの改善となる
- 痛み改善に特化した治療方法
- 医師と理学療法士のみが習得できる手技
- 医学的根拠あり
福岡筋膜整体Crystalではこのイタリア式の筋膜リリースを提供しています。
原因の特定ができない一般的な筋膜リリースをしても症状改善は難しいです。痛みが起こっている的確な検査が必要になります。
この技術は医師と理学療法士しか取得できない資格できない為、提供している場所は本当に少ないのが現実です。
有痛性外脛骨に有効なマッサージ場所
下の図は有痛性外脛骨に有効な筋膜マッサージ場所です。
マッサージのコツは、「筋肉をこする」ようにマッサージしてみてください。
一箇所につき3分程度で柔らかくなります。

当院の施術(筋膜リリースの流れ)


料金
症状改善コース
・60分 7,000円
・90分 10,000円

当店の料金は90分で10,000円と高いですが、平均回数など他店と比べると、結果安く改善する期間も短く済みます。
有痛性外脛骨が治らない時は福岡筋膜整体クリスタルにお任せください!
- 筋膜の繋がりから有痛性外脛骨の原因を特定します
- 手術しかないと諦める前にご相談ください
- 痛みが再発しないよう筋膜マッサージの方法をアドバイスいたします
アクセス
| サロン | 福岡筋膜整体Crystal(クリスタル) |
| お問い合わせ | info@kinmaku-crystal.com |
| 住所・最寄駅 | 福岡市中央区薬院2丁目13-33 VIP薬院404号
薬院大通駅より徒歩3分 薬院駅より徒歩8分 |
| 専用駐車場はございません。近隣のコインパーキングをご利用ください。 | |
| 営業時間 | 月、火、水、木、金、土、日 (祝日も営業)9:00~22:00 |


